ЗАКРЫТАЯ ЧРЕСКОЖНАЯ ЭХИНОКОККЭКТОМИЯ ПОД УЗИ ПРИ БОЛЬШОЙ КИСТЕ ПЕЧЕНИ (ТРОАКАРНАЯ МЕТОДИКА ДРЕНИРОВАНИЯ)
Методика дренирования гигантской
рецидивной погибшей эхинококковой кисты печени троакаром.
Их анамнеза известно, что два месяца назад
пациент был оперирован по месту жительства в экстренном порядке по поводу
разрыва большой эхинококковой кисты печени с прорывом содержимого в свободную
брюшную полость. К нам пациент поступил с признаками интоксикации и наличием в
правой доли печени большой кисты с отслоившимися внутренними оболочками и
причудливо свернувшимися остатками оболочек в полости:
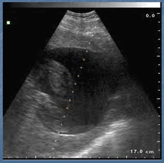
Эхинококковая киста печени СЕ3 до
дренирования

Мы констатировали наличие погибшего
эхинококка в оставшейся полости кисты после разрыва. Однако, учитывая, что в
капсуле кисты и за ее пределами в ткани печени могут оставаться невидимые
дочерние элементы паразита, решено было выполнить закрытую радикальную
эхинококкэктомию под УЗ по разработанной методике.
Коррекция методики учитывала особенности
данного случая:
- большой размер эхинококковой кисты;
- предполагаемое инфицирование погибшей эхинококковой
кисты;
- прогнозирование длительного последующего
лечения по борьбе с инфекцией и облитерация большой остаточной полости;
- очень крупные фрагменты толстых оболочек
кисты и дочерних пузырей, возможно фиксированных к внутренней стенке полости;
- спаивание близлежащих органов с печенью
и образование спаек в брюшной полости после перенесенной ранее операции, что
прогнозировало отграничение предполагаемой зоны вмешательства от свободной
брюшной полости.
Решено было дренировать эхинококковую кисту одномоментно толстыми двухпросветными дренажами методом троакара.
На фото представлена эхинококковая киста и
выбранная траектория первого дренажа через массивную ткань неизмененной печени:

Далее, по выбранной траектории под УЗ наведением лапароскопическим троакаром выполнена первая пункция кисты и через гильзу троакара в полость эхинококковой кисты введен первый дренаж:

На следующих фото виден троакар в ткани печени и в полости эхинококковой кисты, а также проводимый через гильзу троакара в полость кисты дренаж:


На следующем фото - первый дренаж установлен и пережат во избежание преждевременного опорожнения эхинококковой кисты, что затруднит УЗ визуализацию для установки второго дренажа:

На следующем фото - по аналогичной методике в полость эхинококковой кисты веден второй дренаж:

На следующем фото - после установки обоих дренажей из полости эхинококковой кисты активно аспирируется содержимое:

На следующем фото - аспирация содержимого погибшей эхинококковой кисты с эвакуацией фрагментов оболочек. Киста спадается полностью, стенки кисты сомкнулись вокруг дренажа:

На следующем фото - рентгеновская фистулография подтверждает правильную установку двухпросветных дренажей 9F и 12F в полости эхинококковой кисты, наличие остатков оболочек в полости, отсутствие затеков за пределы кисты в брюшную полость и связи полости кисты с протоками, сосудами и другими органами:

После эвакуации содержимого из полости эхинококковой кисты и выполнения фистулографии, полость кисты неоднократно промыта гипертоническим раствором до чистых вод с полной эвакуацией всех фрагментов оболочек эхинококка:

После этого полость под незначительным давлением наполнена глицерином до восстановления первичного объема кисты. Выдержана экспозиция раствора в полости 15 минут. Затем раствор полностью эвакуирован. При контрольной фистулографии скорректировано положение дренажей в полости (исключающее перегибы дренажей), и дренажи фиксированы к коже швами:

Пациент благополучно выздоровел. Остаточная полость полностью облитерировалась на дренажах через 42 дня. Дренажи были удалены поэтапно: первый - удален через 17 дней, второй - через 42 дня. Рецидива эхинококка не наблюдается уже в течение шести лет.
***
В подобных случаях, когда в полости кисты
имеются крупные фрагменты оболочек, с трудом эвакуируемые по дренажу или
фиксированные к внутренней стенке полости, мы применяем несколько
разновидностей инструментов для их удаления:

Инструмент вводится через гильзу троакара или через просвет дренажа, и под УЗ контролем оболочки захватываются инструментом и удаляются. При этом УЗ контроль позволяет в режиме реального времени без лучевой нагрузки проводить адекватную санацию полостей без лимита времени.
С уважением, Сергей Новиков
